※外科処置の写真が含まれますのでご注意ください。
今週の最後はインプラントオペを行います。
![]()
左上臼歯部にインプラント治療を計画します。
まずはフェイスボウトランスファーを行い
KaVoプロターevo7咬合器にマウントします。
![]()
オフィス内のCTで撮影して事前にシミュレーションします。
![]()
2本のインプラントの埋入を予定します。
![]()
角度の決定を終えました。
![]()
EZ STENT イージーステントを用います。
![]()
熱可塑性樹脂ですので、熱湯で温めることで透明になり成型できます。
スリーブを追加しています。
![]()
模型に圧接してステントの完成です。
事前の準備が整いました。
—————————————————————-
いよいよ本日のオペに臨みます。
![]()
左上臼歯部のミラー像です。
![]()
口腔内での適合を確認します。
![]()
スリーブの長さがありますので狭い口腔内でドリルを挿入するのは
熟練が必要です。
![]()
![]()
尼崎市からのお越しにいつも恐縮します。
まずは安全な深度までドリリングして確認します。
![]()
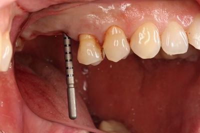
深度ゲージを挿入した状態でレントゲンを撮影します。
角度は想定どおりで安堵します。
![]()
ここからはソケットリフトを行いますのでオステオトームで上顎洞を挙上します。
![]()
オステオトームでのソケットリフトを終えました。
正確な位置でインプラント床を拡大するために粘膜剥離をせずに行います。
骨の柔らかい方向へオステオトームが逃げますので粘膜をガイドにして
拡大していきます。
骨の上部は必ずドリルで形成します。
![]()
この時点で粘膜剥離して骨の状態を確認します。
![]()
深度ゲージで確認します。
![]()
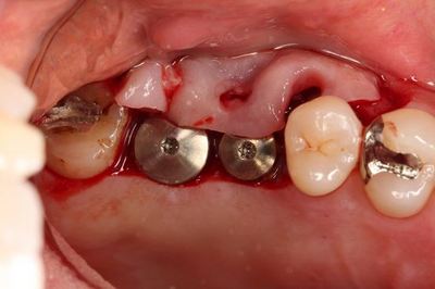
インプラントはスイスのストローマンインプラントです。
![]()
![]()
スタンダードプラスインプラントΦ4.1とΦ4.8 長さは同じ8mmです。
![]()
無事埋入を終えました。
![]()
挿入ジグを外しました。インプラントネックが見えています。
![]()
![]()
ヒーリングキャップのセットを終えました。
オレンジ色に見えるのは固着防止用に用いた表面麻酔軟膏です。
![]()
これから縫合します。
このケースでは角化歯肉が充分にありますのでカットして調整します。
![]()
縫合を終えました。吸収性の縫合糸です。
![]()
オペ終了時のレントゲンです。
予定通りに進みホッとします。
Y・Sさん、インプラントオペおつかれさまでした。
尼崎市からのお越しに恐縮します。
もしよろしければ
人気ブログランキングに投票する をクリックお願いいたします。
三好デンタルオフィス






