お問い合わせはこちらから

インプラント症例・ブログ

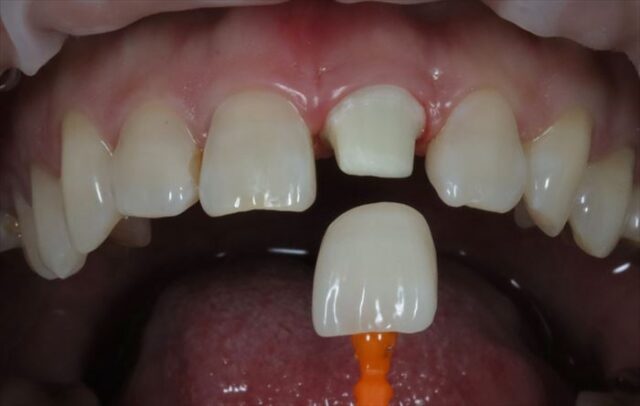
右上前歯に抜歯即時インプラント埋入オペを行いました。2026.02.21|歯根吸収|右上1

広島市の自由診療専門歯科 三好デンタルオフィス 代表 三好龍治です。F・Kさんの初診時の状態です。右上中切歯(右上1)に歯根吸収と炎症がありインプラント治療をご希望です。_過去に神経を取る治療(=根管治療)がなされており、残念ながら歯根の吸収...

>続きはこちら

Z-SYSTEMS ジルコニアセラミックインプラント埋入オペ 2026.02.10|メリット・デメリット|右上6

広島市の自由診療専門歯科 三好デンタルオフィス 代表 三好龍治です。呉市からお越しのO・Hさんの右上第一大臼歯部分(右上6)に、ジルコニアセラミックインプラントの埋入を計画します。オフィス内の歯科用CTでインプラントシミュレーションを行います。...

>続きはこちら

骨増生処置を行った右上中切歯部分にインプラント埋入オペを行いました。2026.02.09|右上1|審美インプラント

広島市の自由診療専門歯科 三好デンタルオフィス 代表 三好龍治です。抜歯時に骨増生処置を行った右上中切歯(右上1)部分にインプラント埋入オペを行います。抜歯時の記事はこちらです。(メインサイトのブログ記事)「膿が出ていた右上前歯の抜歯と骨増...

>続きはこちら

抜歯即時インプラント埋入した左上中切歯にセラミックを接着しました。2026.02.07|審美インプラント|広島

広島市の自由診療専門歯科 三好デンタルオフィス 代表 三好龍治 です。以下の記事に書きました左上中切歯(左上1)の抜歯即時インプラント治療がいよいよ完成です。「左上中切歯の抜歯即時インプラント埋入オペを行いました。2025.06.07|前歯のインプラ...

>続きはこちら

抜歯即時インプラント埋入した左上中切歯に仮歯を装着しました。2025.10.04|前歯のインプラント|広島

広島市の自由診療専門歯科 三好デンタルオフィス 代表 三好龍治 です。こちらの記事に書きました左上中切歯の抜歯即時インプラント埋入オペから3ヶ月が経過しました。「左上中切歯の抜歯即時インプラント埋入オペを行いました。2025.06.07|前歯のインプ...

>続きはこちら

アンキロスインプラントの撤去&埋入手術を行いました。2025.09.24|Ankylos Implant

広島市の自由診療専門歯科 三好デンタルオフィス 代表 三好龍治 です。N・Hさんの右上第一大臼歯部分(6┘:右上6)のインプラントの再治療を行います。(矢印)既存のインプラントを撤去して新しいインプラントを埋入します。※右上第二大臼歯部分(7┘:...

>続きはこちら

右下第一小臼歯部分にジルコニアワンピースインプラントを埋入しました。2025.09.12|ストローマン

広島市の自由診療専門歯科 三好デンタルオフィス 代表 三好龍治です。F・Tさんの右下第一小臼歯部分にジルコニアインプラントの埋入オペを行います。インプラントの選択に際し、第一選択は長い臨床成績のあるチタン製インプラントですが、完全なるメタルフ...

>続きはこちら

左上中切歯の抜歯即時インプラント埋入オペを行いました。2025.06.07|前歯のインプラント|広島

広島市の自由診療専門歯科 三好デンタルオフィス 代表 三好龍治です。K・Tさんの初診時の上顎前歯の写真です。左上中切歯(左上1:この歯は過去に神経を取ってある失活歯)の歯冠が折れて仮歯が接着してある状態です。歯ぐき(歯肉)の表面に折れた歯根の...

>続きはこちら

アンキロスインプラントの撤去手術を行いました。2025.04.04|Ankylos Implant

広島市の自由診療専門歯科 三好デンタルオフィス 代表 三好龍治です。初診時のパノラマレントゲン写真です。右上臼歯部分には過去に3本のインプラント治療を受けておられます。(765┘:右上765)奥側の2本はインプラント周囲炎を起こしており、周囲...

>続きはこちら

ブレードタイプインプラントの撤去 2024.02.16|サファイアインプラント|古いインプラントを取る

広島市の自由診療専門歯科 三好デンタルオフィス 代表 三好龍治 です。右下第一小臼歯部分に約40年前に植立されたブレードタイプインプラントが存在しています。画像左隣の右下第二小臼歯と連結されています。_周囲骨が炎症によって溶けて肉芽組織の中に...

>続きはこちら

インプラント撤去手術を行いました。2023.11.07|広島|テーパード・スクリューベント

広島市の自由診療専門歯科 三好デンタルオフィス 代表 三好龍治です。他院にて5年前に左下第二大臼歯部分にインプラント治療を受けておられます。(レントゲン画像右端)_実際の左下奥歯の状態です。インプラント上部の歯が動くとのことで来院なさいまし...

>続きはこちら

インプラント治療に用いる材料・素材の写真|Oリングテスト用に。2023.07.17

広島市の自由診療専門歯科 三好デンタルオフィス 代表 三好龍治です。まえがき私はOリングテストについて否定も肯定もしない中立的立場です。 患者さんより、写真でもOリングテストが可能とのことで、写真提供のご要望をいただきましたので弊オフィス...

>続きはこちら

ITIスタディクラブで症例発表しました。ケースレポート 2023.04.15|広島

インプラント治療の勉強会であるITI スタディクラブで症例発表しました。他の先生方と交流すると新たな刺激を受けますので、明日からの診療にさらに打ち込んで参ります。広島市南区の自由診療専門歯科 三好デンタルオフィス

>続きはこちら

インプラント撤去手術から6週間経過しました。2023.02.10

広島市の自由診療専門歯科 三好デンタルオフィス 代表 三好龍治です。「インプラント撤去手術を行いました。左下第二小臼歯 2022.12.29」こちらの記事から6週間経過しましたので、バリアメンブレン(膜)として用いたサイトプラストを撤去します。_オペ終...

>続きはこちら

右上奥歯2本のインプラント治療が完成しました。2023.01.31|広島|詳しく解説

広島市の自由診療専門歯科 三好デンタルオフィス 代表 三好龍治です。この記事は、インプラントの埋入から仮歯までをご紹介したこちらの記事の続きです。「右上奥歯への2本のインプラントの埋入から仮歯のセットまでの治療の流れ。2023.01.22」_前回の記...

>続きはこちら

pagetop