広島市の自由診療専門歯科 三好デンタルオフィス 代表 三好龍治です。
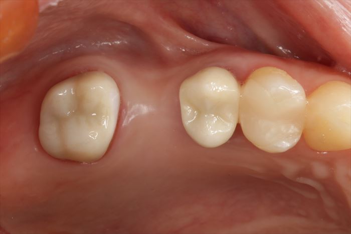
右上第一大臼歯(右上6)部分にインプラントの埋入を計画します。
_
オフィス内の歯科用CTにてインプラントシミュレーションを行います。
_
フェイスボウトランスファーを行い顎関節と上顎歯列の位置関係を記録します。
_
フェイスボウトランスファーによる記録を利用して上下歯列模型をKaVo プロターevo7咬合器にマウントしました。
_
CTデータと重ね合わせ、模型上でインプラント埋入位置・角度を決定し、
サージカルステント(ドリルガイド)を製作します。
_
いよいよ本日インプラント埋入オペを行います。
まずはサージカルステントの適合を確認します。
_
修正が可能な深さまでドリリングして、深度ゲージを挿入してデンタルレントゲン写真を撮影します。
_
デンタルレントゲン写真において想定通りの角度であることから、ドリリングのステップを進めます。
_
ドリルサイズを拡大してドリリングを終えました。
_
実際の骨の形を確認するために粘膜を剥離します。
_
頬側骨が少々足りない状況ですので、インプラント埋入後に骨増生処置(GBR)を行います。
_
スイス ストローマン社製のインプラントを用います。
_
BLT Roxolid φ4.1㎜ 長さ8㎜
_
インプラントの埋入を終えました。
_
インプラントを植えるためのパーツである挿入ジグを外しました。
ここから骨増生処置に移ります。
_
インプラント本体のスクリューホールの保護と歯肉の形態を整えるためにヒーリングキャップを用意します。
_
ヒーリングキャップを締結しました。
骨増生する部分の皮質骨表面に穴を開けて出血を促します。(デコルチケーション:皮質骨穿孔)
骨増生(骨造成)処置は血液が重要な役割を果たします。出血によって骨芽細胞が送り込まれます。
_
骨移植材とコラーゲンメンブレン(膜)を準備します。
_
コラーゲンメンブレンの形をトリミングして置きます。
_
コラーゲンメンブレンの内側に骨移植材を置きます。
_
馴染ませました。
コラーゲンメンブレンを遮断膜(バリアメンブレン)として用いることで、
骨移植材の内部に軟組織が浸入して治癒してしまうことを防ぎます。
_
粘膜内部の骨膜に減張切開を加え伸展性を確保し、吸収性の縫合糸で縫合しました。
_
本日のインプラント埋入オペの終了です。
_
インプラント埋入オペ終了時のデンタルレントゲン写真です。
_
H・Aさん、咬める日までもう少しのご辛抱ですね。
インプラント埋入オペお疲れさまでした。
_

































