広島市の自由診療専門歯科 三好デンタルオフィス 代表 三好龍治です。
F・Tさんの右下第一小臼歯部分にジルコニアインプラントの埋入オペを行います。
インプラントの選択に際し、第一選択は長い臨床成績のあるチタン製インプラントですが、
完全なるメタルフリーをご希望の方にはジルコニア製インプラントも選んで頂けます。
ジルコニアは酸化物セラミックであり、チタン製インプラントに比べて折れる可能性があります。
※弊オフィスの患者さんでは今日まで折れたケースはありません。
ジルコニアインプラントのメリット・デメリットについてのご理解が必要です。
_
いつものように型取りとフェイスボウトランスファーを行います。
_
フェイスボウトランスファーの情報を利用してKaVoプロターevo7咬合器に上下顎模型をマウントします。
_
今後、右下⑦6⑤ブリッジも解消してインプラント治療を行いますが、
まずは右下第一小臼歯(右下4)部分のインプラント治療を行います。
_
埋入位置・埋入角度をシミュレーションし、サージカルステント(ドリルガイド)を私が製作します。
_
サージカルステントを利用してドリリングし、深度ゲージを挿入しました。
_
犬歯と第一小臼歯は歯列弓の中で前歯と臼歯の移り変わる部位のため、
埋入角度のバランスを取るのが難しい位置と言えます。
_
デンタルレントゲン写真を撮って確認します。
わずかに近心傾斜させてドリルステップを進めます。
_
最終ドリルまでドリリングを終えました。
_
粘膜を剥離して骨の位置を確認します。
_
ジルコニアインプラントを用意します。
_
Straumann® PURE Ceramic Implant φ3.5㎜ 長さ10㎜
歯科医師である私の責任において法律に基づいて輸入し、治療に使用しています。
_
右のジルコニアインプラントを、左の挿入ジグを装着して回して外し、骨内に埋入します。
_
モーター埋入します。
_
骨内にジルコニアインプラントの埋入を終えました。
ジルコニアインプラントは、いわゆるアバットメントまでが一体となったワンピースインプラントですので
適切な埋入位置・埋入深度・埋入トルクが要求されるため、術者にとっては難易度が高い治療と言えます。
最終的にかぶせる歯冠形態を常に意識しながら埋入することが重要です。
_
埋入後に頬側骨の裂開は見られませんでしたが、矢印の陥凹部分に骨移植材を填入して
骨増生処置(GBR)を行います。
_
歯肉弁を封筒状に粘膜剥離し、骨移植材と抗生物質を混和したものを準備します。
_
骨の陥凹部分に骨移植材を填入して膨らみが出ました。
骨となって治癒していきます。
今後の骨吸収を防ぐための予防的な骨増生処置という概念です。
_
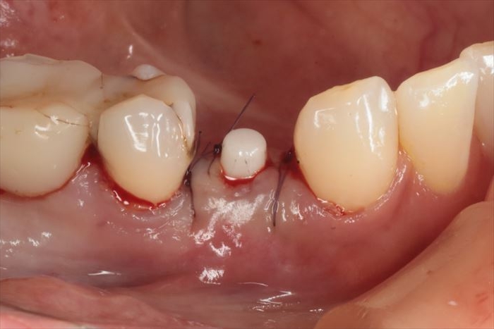
抜糸不要な吸収性縫合糸で垂直マットレス縫合しました。
_
埋入トルクは十分なことから6週後に仮歯を作成して噛めるようになります。
インプラントのネック部分をカバーするように粘膜を寄せて縫合しています。
仮歯作成時にはCO2レーザーを照射して余分な歯肉を蒸散します。
_
ジルコニアインプラント埋入オペ後のデンタルレントゲン写真です。
犬歯と第一小臼歯は角度のバランスが難しいと冒頭で書きましたが、
デンタルレントゲン写真で2次元に投影すると実際よりも犬歯と近接しているように見えます。
これは犬歯の唇舌的な幅が大きいため起こります。
※どうしても心配な場合はCT撮影して確認します。
_
F・Tさん、無事にインプラント埋入オペを乗り越えられました。
6週後が楽しみです。
_
※2026.02.28 完成までを追記
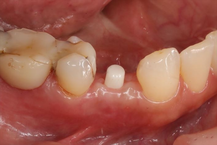
インプラント埋入から6週後の状態です。(2025.10.24)
_
CO2レーザーで歯肉を蒸散してインプラントのマージンを露出させます。
_
セレックプライムスキャンでスキャニングしてセラミック修復物を製作します。
_
セラミック修復物の接着内面をフッ化水素で酸処理します。
_
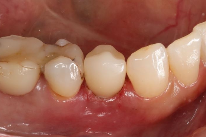
接着直後の状態です。(2025.10.24)
_
接着から4か月経過した状態です。(2026.02.28)
今年は画像左側:右下小臼歯・大臼歯の治療を進めます。
_
































