広島市の自由診療専門歯科 三好デンタルオフィス 代表 三好龍治です。
K・Tさんの初診時の上顎前歯の写真です。
左上中切歯(左上1:この歯は過去に神経を取ってある失活歯)の歯冠が折れて仮歯が接着してある状態です。
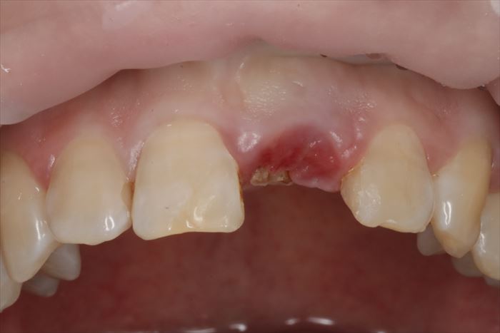
歯ぐき(歯肉)の表面に折れた歯根の一部が露出しています。
_
口蓋側面観ミラー像です。仮歯が両サイドの歯に固定されており、仮歯と歯根の間は浮いている状態です。
_
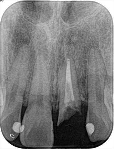
初診時のデンタルレントゲン写真です。
歯冠部分がむし歯になることによって朽ちて消えかかっています。
このように歯冠が折れた状態の歯であれば、治療方法の選択肢として下記4パターンが考えられます。
_
1,部分矯正治療を行い歯根を挺出(ていしゅつ:咬合平面に向けて引っ張り上げること)させて
健全歯質を使えるようにし、改めて支台築造とクラウンセットを行う。
2,抜歯してブリッジ治療を行う。
3,抜歯して入れ歯治療を行う。
4,抜歯してインプラント治療を行う。
_
・挺出させた場合、骨に埋まっている歯根は短くなるため歯冠歯根比が悪化し、歯としての総合的な寿命が短くなる可能性があります。
また、歯根を引き上げることで歯根の断面積が小さくなるため、前歯のような審美部位では形態と清掃性のバランスが難しくなります。(歯の形が変になる可能性)
・ブリッジ治療の場合、両サイドの歯を形成する(削る)必要があり、このケースの様に両サイドの歯が天然歯の場合、
1本の歯のために2本を削り、橋渡しすることで両サイドの歯に負担をかけることに成ってしまいます。
・入れ歯治療の場合、目立つ目立たないタイプに関わらず両サイドの歯に負担を掛けます。
審美的にも大きなスマイルには耐えられないことも考えられます。
入れ歯はレジン製の構造物であり、天然歯質に比べて細菌付着性が高いため不潔になりやすく口臭の原因にも成り得ます。
・インプラント治療の場合、前歯では審美的要件を満たすためにインプラントの位置付けや軟組織のマネージメントが重要です。
_
K・Tさんは海外赴任を控えておられることや、ご年齢、確実性の観点から抜歯してインプラントをご希望です。
もし、私が同じ立場であればインプラント治療を選択します。
_
術前に歯科用CTによる断層画像でインプラントのシミュレーションをします。
このケースのように歯は折れているが、周囲の歯槽骨が健全であるケースでは、
抜歯と同時にインプラントを埋入する抜歯即時インプラント埋入オペを選択します。
※抜歯即時インプラント埋入オペは術中に高度な判断が必要となるため、
十分なインプラント治療経験のある歯科医師が行うべき治療法と考えます。
_
インプラント治療に先立ち、術前の3D データをセレックプライムスキャンでスキャニングして残しておきます。
折れた左上1を下顎前歯が突き上げ、前方運動時にこすれやすい歯並びであることが判ります。
(その結果、折れたと考えます。)
_
シリコン印象材で型取りして治療前の形態を物理的にも残しておきます。
_
では、いよいよ仮歯を外して抜歯即時インプラント埋入オペのスタートです。
歯肉が歯根の上面をカバーするように増殖して覆い隠しています。
_
増殖して覆い隠している歯肉は正常像ではありませんので必要最小限切除して抜歯します。
_
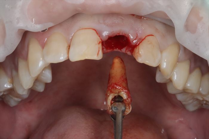
抜歯時には極力周囲の歯槽骨にダメージを与えないように(非侵襲的に)慎重に抜歯します。
_
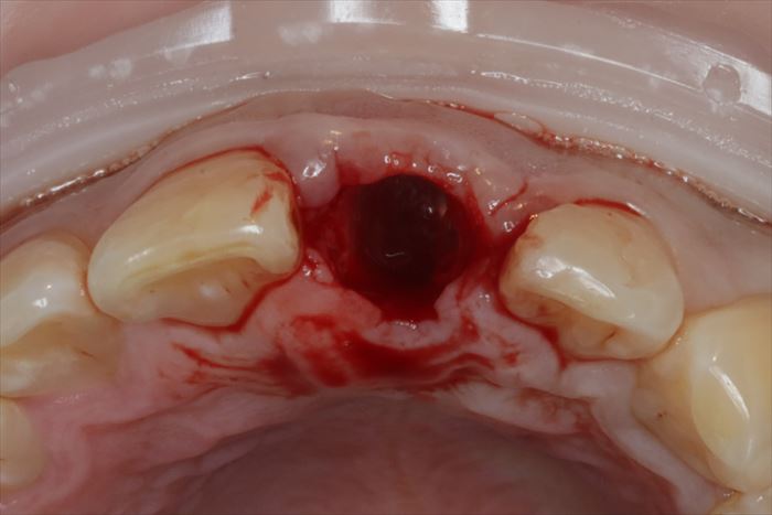
無事に抜歯を終えました。
_
神経(歯髄)を取って年月が経っている歯は、血液による栄養供給が絶たれるため変色し脆弱になっていきます。
歯の歯髄をいかに生かしたままにしておくかが大変重要です。安易に歯髄を取ってはいけません(根管治療)。
そういった意味では根管治療は万能ではなく、時限的な延命処置と私は考えます。
_
抜歯後の状態です。
ここからドリリングしてインプラントを埋入する穴=インプラント床(しょう)を形成します。
_
ストローマン社製 BLT インプラント φ4.1㎜ 長さ12㎜ を用います。
_
インプラントの埋入を終えました。青いパーツはインプラント埋入用のパーツです。
ゆるくならないようにドリリングの見極めが重要です。
インプラントの埋入深度は、想定する歯頚部よりも最低4㎜深い部分にインプラントネックを位置づけます。
_
前歯のインプラント埋入位置は口蓋側寄りにすることが審美的要件の大原則です。
_
インプラント本体の接続部の保護と、歯肉の形態を作るためのヒーリングキャップを準備します。
_
抜歯後の穴(=抜歯窩:ばっしか)とインプラントとの隙間にハイドロキシアパタイトを填入して骨吸収を防止します。
_
ヒーリングキャップの締結とハイドロキシアパタイトの填入を終えました。
_
吸収性の縫合糸で縫合を終えました。
_
歯肉はヒーリングキャップの形に治癒していきます。
_
仮歯と歯肉の隙間をレジンで埋めて、改めて両サイドと固定します。
光照射してレジンを硬化させている場面です。
_
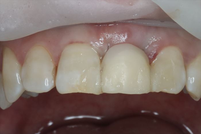
本日の抜歯即時インプラント埋入オペ終了時の写真です。
3ヶ月の治癒期間を取り、上部構造の製作に移ります。
_
術後のデンタルレントゲン写真です。
_
K・Tさん、抜歯即時インプラント埋入オペお疲れさまでした。
あとは治癒を待つばかりですね。
_
※治癒後の仮歯セット時の記事はこちらです。
「抜歯即時インプラント埋入した左上中切歯に仮歯を装着しました。2025.10.04|前歯のインプラント」
_
※セラミックの歯をセットした完成時の記事はこちらです。
「抜歯即時インプラント埋入した左上中切歯にセラミックを接着しました。2026.02.07|審美インプラント|広島」
_






























