広島市の自由診療専門歯科 三好デンタルオフィス 代表 三好龍治 です。
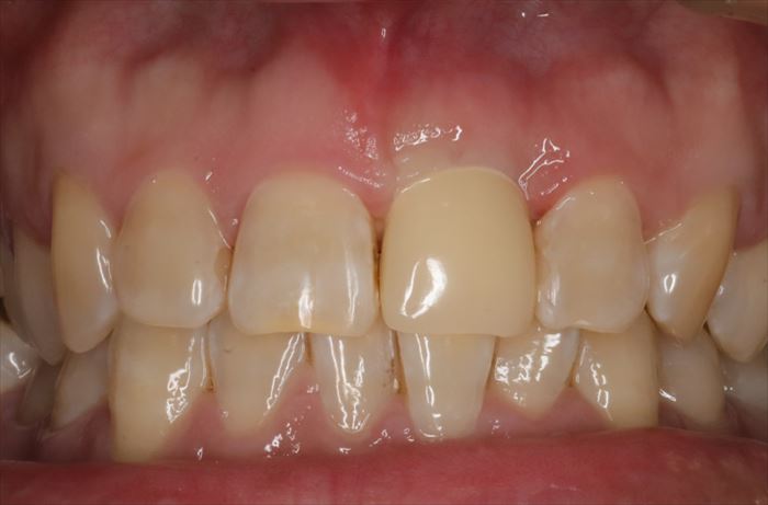
こちらの記事に書きました左上中切歯の抜歯即時インプラント埋入オペから3ヶ月が経過しました。
「左上中切歯の抜歯即時インプラント埋入オペを行いました。2025.06.07|前歯のインプラント|広島」
特に問題なく経過し、私も嬉しいです。
_
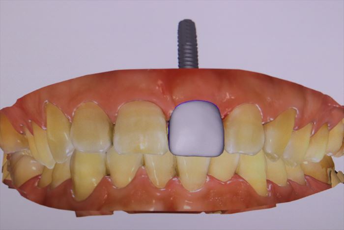
セレックプライムスキャンでジルコニアカスタムアバットメントとレジン製の仮歯を製作します。
_
左端のインプラントアナログ(インプラントの接続部分を模したもの)にこのように接続します。
_
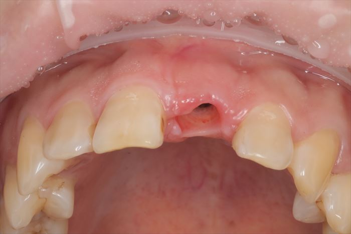
ヒーリングキャップを外しました。
_
歯肉はヒーリングキャップに沿って治癒しています。
_
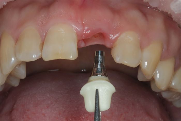
チタンベースにジルコニアを接着したジルコニアカスタムアバットメントを締結します。
_
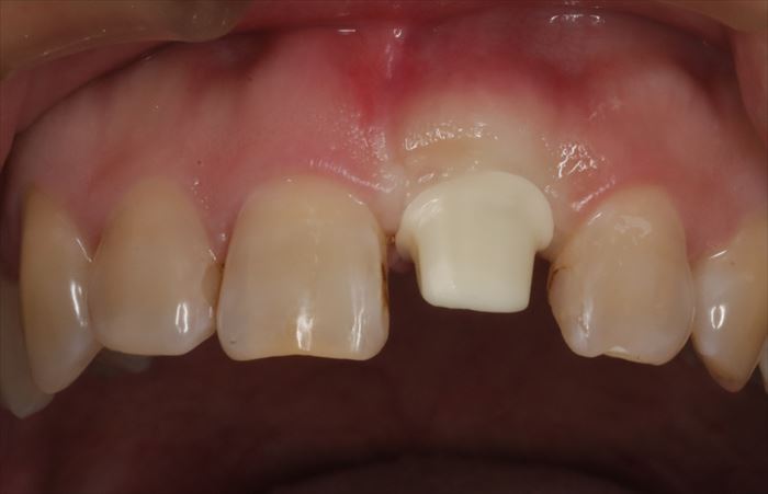
ジルコニアカスタムアバットメントを締結しました。
アバットメントによって歯肉の形をマネージメントします。
隣接歯の むし歯と古いコンポジットレジンは次回治療します。
_
本日は、慣れと咬み合わせの確認のため、プラスチック製の仮歯をセットします。
問題無ければセラミック製のかぶせものをセットして完成です。
_
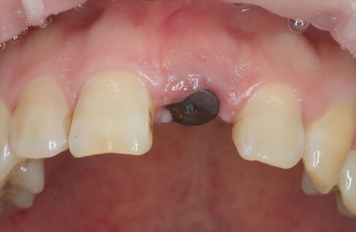
初診時の状態です。
_
K・Tさん、順調な経過で私も嬉しいです。
ゴールまでもう少しですね。
_
※セラミックの歯をセットした完成時の記事はこちらです。
「抜歯即時インプラント埋入した左上中切歯にセラミックを接着しました。2026.02.07|審美インプラント|広島」
_

















