新年最初の治療はインプラントオペです。
※外科処置の写真が含まれますのでご注意ください。
![]()
昨年の間にオフィス内のCTで撮影し、シミュレーションします。
中間欠損において、複数本をバランスのとれた傾斜で埋入するのが重要です。
遊離端欠損で複数本を平行に埋入するのはむしろ容易です。
![]()
いつものようにフェイスボウトランスファーを行います。
顎関節と上顎歯列の位置関係を記録するための行為です。
![]()
KaVo プロターevo7 咬合器にマウントしました。
![]()
スターティングポイントのマーキングのために準備をします。
![]()
近心側は角度も決めていますが、
遠心側はスターティングポイントのマークまでの役割です。
便宜的に平行にしてサージカルステントが着脱できるようにしています。
いよいよ本日を迎えました。
![]()
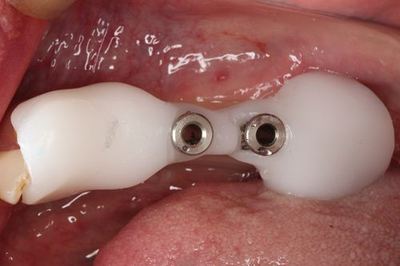
左下第二小臼歯・第一大臼歯の部分にインプラントを埋入します。(ミラー像)
![]()
サージカルステントをセットし安全な領域までドリリングします。
![]()
イニシャルドリルでのドリリングを終えました。
![]()
この段階でレントゲンを撮影して確認します。
確認を終えましたら遠心側のドリリングも進めます。
![]()
粘膜剥離前に安全な範囲で、ある程度のドリリングを終えました。
![]()
この時点で粘膜剥離します。
![]()
ドリルステップを進め最終サイズまで形成を終えました。
![]()
深度ゲージで深さと角度の確認をします。
![]()
![]()
インプラントはスイスのストローマンインプラントです。
![]()
無事埋入を終えました。
![]()
インプラント挿入ジグを外しました。
![]()
封鎖スクリューを締結し、インプラントフィクスチャーを保護します。
![]()
頬側部分の骨の陥凹部分に
ドリリング時の骨切削片とハイドロキシアパタイトを混和して填入します。
![]()
皮質骨にデコルチケーションした後に移植材を填入し馴染ませます。
粘膜弁の骨膜減張切開も行います。
![]()
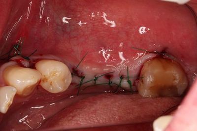
縫合を終えました。
![]()
オペ終了時のレントゲン写真です。
約1週間後に抜糸します。
インプラントの埋入トルクが15Ncmを越えていますので
6週間後から咬合できるように準備をします。
K・Sさん、インプラントオペおつかれさまでした。
今年は咬める年になりますので私も楽しみです。
もしよろしければ
人気ブログランキングに投票する をクリックお願いいたします。
広島市 三好デンタルオフィス






