![]()
左下大臼歯部分に2本のインプラントオペを計画します。
もはや歯科医院の通常設備である歯科用CTで撮影します。
あくまでも個人の意見ですが、仮にCTが故障した状態では
初診をお断りせざるを得ないと考えるほどです。
![]()
いつものように事前にフェイスボウ トランスファー(顔弓測定)を行い
顎関節と上顎歯列の位置関係を決定します。
![]()
KaVo プロターevo7 咬合器に上下の歯列模型をマウントします。
![]()
![]()
CTデータと重ね合わせて、埋入位置・方向を決めます。
![]()
サージカルステント(ドリルガイド・ドリルスリーブ)を作製し
事前のシミュレーションを生かすように準備します。
すべてを私が行っています。
そして本日、オペに臨みます。
![]()
実際のおくちです。
![]()
サージカルガイドの適合を確認します。
![]()
まずは安全な深度までドリリングし、深度ゲージを挿入します。
![]()
レントゲンで角度と深度を確認します。
![]()
予定通りですので、奥側のファーストドリリングも行います。
![]()
この段階で粘膜剥離して実際の骨の状態を確認します。
![]()
この部分は歯根破折と炎症のある歯を抜歯していますので
軟組織が存在し完全な骨性の治癒ではありません。
![]()
ドリリングを進め、軟組織を除去しました。
骨欠損部分には骨補填材を填入しますが、まずは埋入を行います。
![]()
![]()
![]()
インプラントはスイスのストローマンインプラントを用います。
あくまでも個人的な意見ですが、ライバル不在とも言える優れたインプラントだと思います。
![]()
無事に2本のインプラントの埋入を終えました。
![]()
トランスファージグを取り外しました。
![]()
ヒーリングスクリューH0.5mmでスクリューホールを保護します。
![]()
ここで、ドリリング時の骨切削片をボーンコレクターで回収したものを用います。
![]()
骨欠損部分に自家骨切削片を置きました。
わずかにハイドロキシアパタイトを混ぜて、吸収防止対策をしています。
![]()
周囲にはハイドロキシアパタイト(下)とカルシウムフォスフェイト(上)を
生理食塩水で混和したものを填入します。
![]()
![]()
![]()
骨移植材の填入を終えました。
![]()
移植材の上部には吸収性コラーゲンメンブレンを設置します。
BIOMEND(バイオメンド)を使用します。
![]()
![]()
コラーゲンメンブレンの設置を終えました。
軟組織が移植材中に侵入することを防ぎ、骨増生(GBR)の成果を高めるために用います。
![]()
![]()
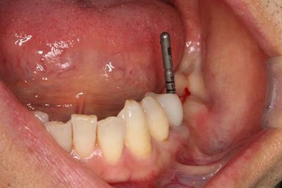
縫合を終えました。
![]()
オペ終了時のレントゲン写真です。
O・Kさん、オペおつかれさまでした。
本日はグリーンの服とバッグでお越しいただき恐縮です。
無事に終わり私も喜んでおります。
※完成時の記事はこちらです。
もしよろしければ
人気ブログランキングに投票する をクリックお願いします。
ご相談はご遠慮なくどうぞ。
広島市 三好デンタルオフィス





