広島市の自由診療専門歯科 三好デンタルオフィス 代表 三好龍治 です。
以下の記事に書きました左上中切歯(左上1)の抜歯即時インプラント治療がいよいよ完成です。
「左上中切歯の抜歯即時インプラント埋入オペを行いました。2025.06.07|前歯のインプラント|広島」
「抜歯即時インプラント埋入した左上中切歯に仮歯を装着しました。2025.10.04|前歯のインプラント|広島」
前回、ジルジニアカスタムアバットメントとレジン製の仮歯を装着後、
両隣在歯(右上1・左上2)隣接面のコンポジットレジン修復を行いました。
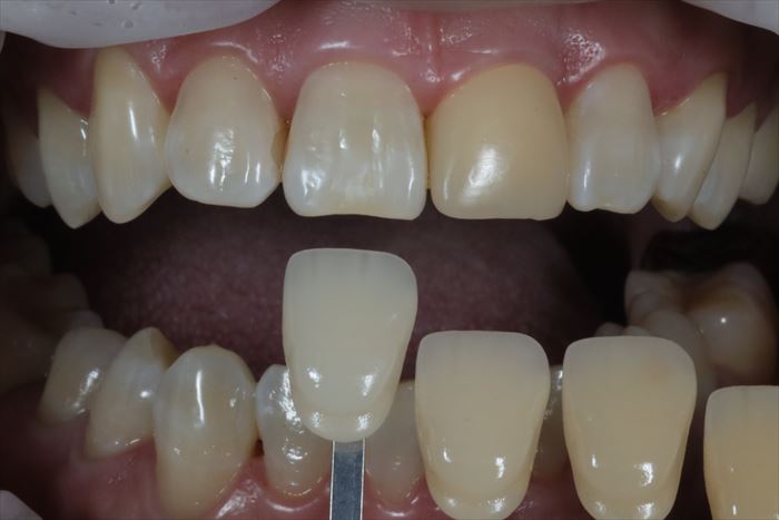
K・Tさんのご希望でホームホワイトニングを終え、明るくなった天然歯の色の採得(シェードテイキング)をしている場面です。
_
レジン製の仮歯を外した状態でもシェードテイキングし、セレックプライムスキャンでスキャニングします。
_
セレックプライムスキャンでスキャニングしたデジタルデータです。
型取りは不要です。(ケースによっては必要な場合もあります)
_
歯科技工所さんに3Dデータを送り、名人と私が崇める歯科技工士さんに腕を振るって頂きます。
ジルコニアセラミッククラウン(クラウン=かぶせもの)です。
_
本物よりも本物とさえ感じる仕上がりです。
_
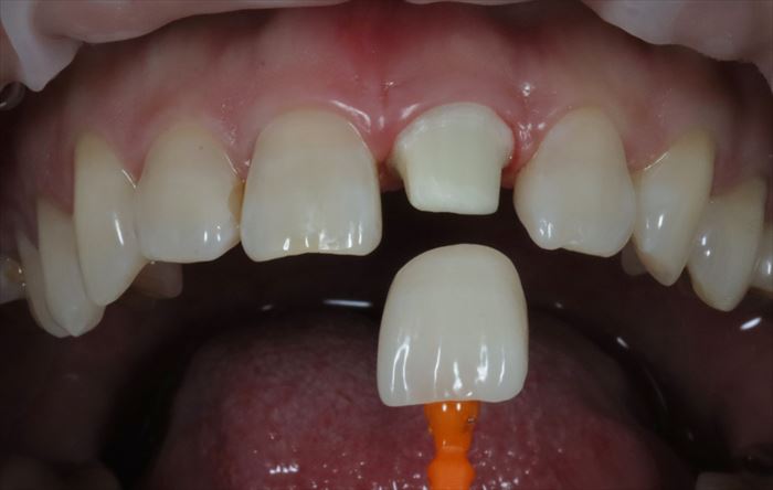
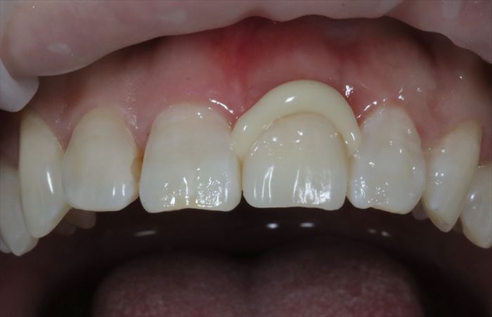
いよいよ口腔内で試適します。
_
レジンセメントで接着した状態をシミュレーションするためのトライインペーストを使用して留めています。
接着後はセメント除去と仕上げ研磨のために出血しますので、この時点で確認します。
_
正中歯肉の発赤はレジン製仮歯の細菌付着性によると考えられますので、
生体親和性の高いジルコニアセラミッククラウンを装着後には改善すると考えます。
_
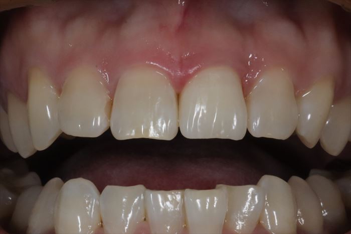
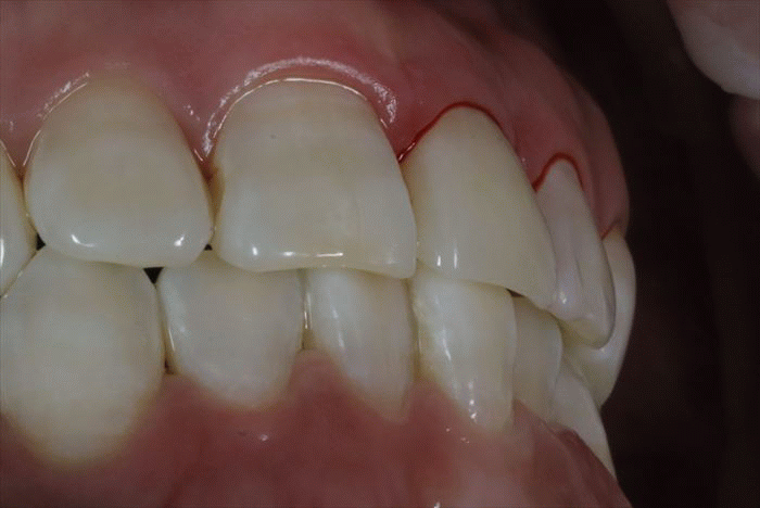
初診時の写真との比較です。
_
ついにレジンセメントで接着します。
_
時間の経過とともに半硬化した段階で、ある程度セメント除去を行い、
光照射器で青い光を照射しレジンセメントを最終硬化させます。
天然歯に近い光の透過性があります。
レジンセメントの硬化後、顕微鏡下で念入りに余剰セメントの取り残しが無いかチェックし、場合によっては研磨して仕上げをします。
余剰セメントの取り残しが歯肉縁下にある場合、プラークが付着し、炎症の原因となって、0点の仕上がりになってしまいます。
_
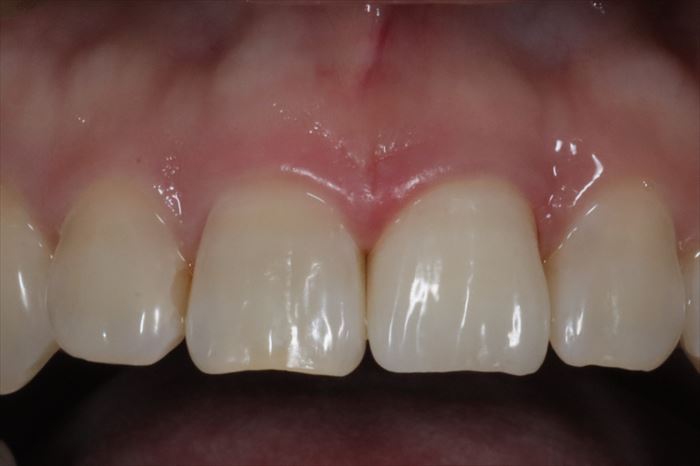
もともとこの歯が折れる原因となった下顎前歯による突き上げとこすれ具合(前方ガイド)を最終確認します。
_
K・Tさん、海外赴任に間に合って私も安堵しています。
ご帰国の際にはメインテナンスにお越しください。
_
広島市の自由診療専門歯科 三好デンタルオフィス






















