広島市の自由診療専門歯科 三好デンタルオフィス 代表 三好龍治です。
H・Tさんの左上第二大臼歯部分にインプラント埋入オペを計画します。
歯槽頂が かまぼこ型であることから可能であれば歯肉を切開しないフラップレス埋入オペを行います。
花粉症の時期であり、CT撮影時の上顎洞には粘液の貯留もしくは粘膜の肥厚があります。
上顎大臼歯部分にインプラントを埋入する場合、上顎洞底を挙上するソケットリフトを多くのケースで行います。
ソケットリフトを行うことで上顎骨の厚みよりも長いインプラントを埋入することが出来ます。
テーパーのついたインプラントを用いると、インプラントの先端が上顎洞底の硬い皮質骨に食い込むことにより
より強い初期固定を得ることが出来る場合があります。
H・Tさんのケースではソケットリフト時に上顎洞底の粘膜(シュナイダー膜)を破らないようにすることが重要です。
_
いつものように上下歯列の型取り(印象採得)とフェイスボウトランスファー(顔弓計測)を行います。
_
フェイスボウトランスファーの記録を利用してKaVo プロター evo7 咬合器に上下歯列石膏模型をマウントしました。
_
インプラントを埋入する部位を石膏模型上で確認します。
_
位置・角度をシミュレーションします。
_
サージカルステント(ドリルガイド)を作成してインプラント埋入オペに臨みます。
実際の埋入オペ時には微調整が必要であることがほとんどですので、
私は自分でシミュレーションして脳内イメージを作るようにしています。
コンピューターによるガイド作成の場合、特に第二大臼歯の場合は開口量の制限を受けて
現実には使えないケースもありますので注意が必要です。
事前準備と現場対応能力のどちらも非常に大切です。
_
いよいよ本日、インプラント埋入オペを行います。
局所麻酔後、サージカルステント(ドリルガイド)の適合を確認します。
_
φ2.2㎜のパイロットドリルでドリリングを行い、深度ゲージを挿入して
デンタルレントゲン写真を撮影して確認します。
_
デンタルレントゲン写真です。
予定通りの角度にドリリング出来ていますので、深さ及び太さを拡大していきます。
_
上顎洞底の挙上はオステオトームをマレット(槌・ハンマー)で槌打して行います。
ソケットリフトとは上顎洞底の皮質骨を若木骨折させて、上顎洞粘膜のテントを張るような状態にするものです。
私はオステオトームのストッパーは現在使用していません。
ストッパーが無いと突き出すような強い力で槌打することが不要なことと、
オステオトームと骨組織の摩擦が十分にあるためです。
(初心者の時代にはストッパーを装着していました)
マレットで槌打する場合、タイミング・リズムを取るための無駄で余分な槌打は行いません。
木材に釘を打ち込む場合ならまだしも、患者さんにとって予備動作は不快なだけと考えるためです。
職人仕事の上手下手は音で分かります。
_
オステオトームで上顎洞底の挙上が出来ましたら、
インプラント床(しょう:インプラントを植えるための穴)を顕微鏡で覗いて、
空気の漏れや上顎洞の粘液の湧き出しが無いことを確認します。
_
スイスのストローマン社のインプラントを用います。
_
BLT SLA φ4.1㎜ 長さ10㎜
_
インプラントの埋入を終えました。
_
青い挿入ジグを外しましたら、インプラントネックが骨内に位置していることを顕微鏡下で確認します。
歯肉表面から最低でも約4㎜下にインプラントネックが位置するように調整します。
インプラントの位置付けが浅いことは私の中では絶対禁忌と考えています(私見です)
_
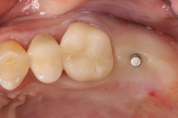
周囲の歯肉の形態を形成し、インプラント接続部分の保護のためのヒーリングキャップを用意します。
_
ヒーリングキャップを締結しました。
歯肉切開を伴わないフラップ(歯肉弁)レス埋入オペではオペ終了時に止血も完了します。
切開を伴わないため、術後の痛みが無かったり、あっても最小限であることが多いです。
ただしフラップレスオペは不可視部分での処置が増えますので術者の経験・判断力が必要です。
骨の形や歯肉の形態によってフラップレスオペの可否がありますので、すべてのケースで適用は出来ません。
_
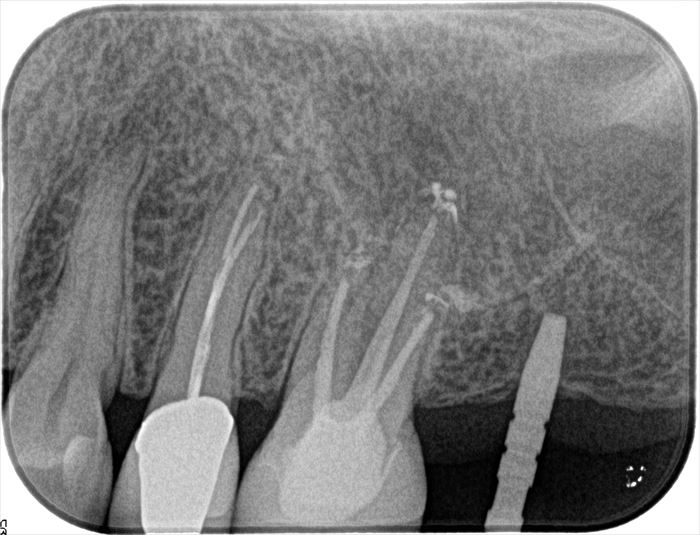
フラップレスインプラント埋入オペ後のデンタルレントゲン写真です。
ソケットリフトしていますので3ヶ月間の治癒期間を設けた後に咬合負荷をかけるようにします。
_
H・Tさん、インプラント埋入オペお疲れさまでした。
咬めるようになる日が楽しみですね。
_
広島市の自由診療専門歯科 三好デンタルオフィス





























