広島市の自由診療専門歯科 三好デンタルオフィス 代表 三好龍治です。
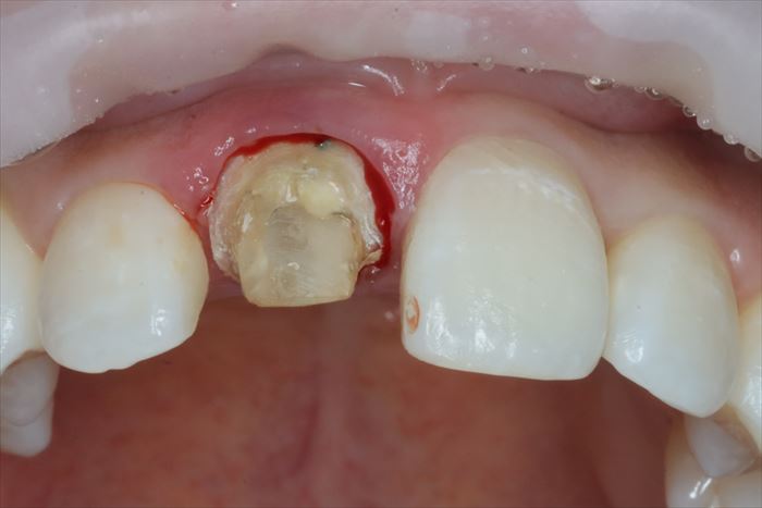
F・Kさんの初診時の状態です。
右上中切歯(右上1)に歯根吸収と炎症がありインプラント治療をご希望です。
_
過去に神経を取る治療(=根管治療)がなされており、残念ながら歯根の吸収が起こっています。
_
炎症がありますが抜歯時に唇側骨が保存出来るようであれば抜歯即時インプラント埋入オペが可能です。
_
前歯のインプラント治療の際には仮歯が必要となりますので、現状の形をシリコンで型取りして
レジンを流しこみ仮歯を製作するための型を準備をしておきます。
_
さらに、レジンで製作した仮歯を元の位置に戻すためのシリコンジグを採っておきます。
事前の準備が術中のストレスを減らしますので、不安要素を徹底的にクリアしておくことを私は好んでいます。
前日までに準備しておくべき内容と、このケースの様に当日の状態に即して準備する方が良い内容があります。
_
表面麻酔+注射による局所麻酔を行いスタートです。
まずは現状の仮歯が外れました。
_
続いて支台築造と周囲の歯質が取れました。
_
まだ歯根が残っていますが歯肉が入り込んでいたことが判ります。
_
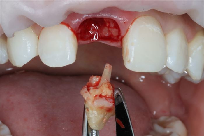
残っていた歯根を抜歯し、顕微鏡下で抜歯窩内部の掻爬を終えました。
心配していた唇側の骨は無事に保存できました。
_
このように満身創痍な状態で今日までよく頑張ってくれました。
_
ここからはドリリングを行い、インプラントを植えるためのインプラント床(しょう)を形成します。
深度ゲージを挿入して角度・深さを確認している場面です。
_
歯根の先端があった部分よりも口蓋側にインプラントの先端が位置するように、
明確な意思をもってドリリングする必要があります。
その面では抜歯即時埋入インプラントオペは難易度の高いオペといえます。
_
スイスのストローマン社のインプラントを準備します。
_
BLT φ4.1㎜ 長さ10㎜
_
インプラントの埋入を終えました。
_
深さ・角度・埋入トルクを調整しながら埋入します。
全て同等に最重要項目ですので納得出来るまでしっかりと調整します。
_
インプラント埋入用の挿入ジグを外しました。
前歯のインプラントの失敗の原因として、唇側すぎる位置付けミスがあります。
歯根があった場所にそのまま植えると唇側すぎる位置付けになりがちですので注意が必要です。
不自然な見た目の仕上がりとなり、これは後からのリカバリ―が事実上出来ません。
歯科治療は不可逆性が高いため、経験豊富で実績のある術者の治療を受けることが大切ですが
誰しも最初は初心者ですので、手荒でなく細かいことが忍耐強く出来る性格の歯科医師を選ぶべきと考えます。
_
インプラントフィクスチャー(インプラント本体)の接続部分を保護し、
歯肉の形態を形成するためのヒーリングキャップ(高さ6㎜)を準備します。
_
ヒーリングキャップを締結しました。
歯根の方がインプラントよりも太いため隙間が生じます。
_
わずかな隙間は血液が貯留して骨となることが判っていますが、念のため骨移植材を準備します。
_
骨吸収を防ぐ目的で私はハイドロキシアパタイトを混ぜた骨移植材を填入しています。
ハイドロキシアパタイトは生体内で吸収されにくく形態の保持に役立ちます。
_
表層にはコラーゲン使用人工骨であるボナーク®を掛け布団のように置いて、
骨移植材の顆粒が術後早期に流出することを防ぎます。
_
吸収性の縫合糸で縫合してインプラント埋入オペは終了です。
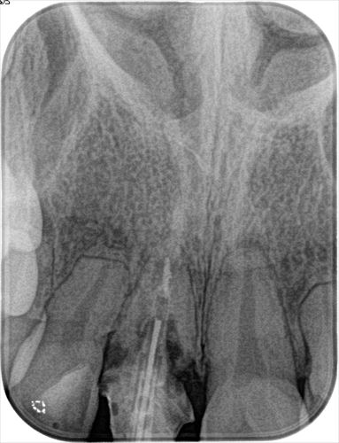
この時点でレントゲン写真を撮ります。
_
撮影したデンタルレントゲン写真です。
この後、仮歯を戻します。
_
幸運にも元々の仮歯を加工して使える状態でしたので、位置付け用シリコンジグを使用して両サイドの歯と固定します。
青い光を照射して透明なレジンを用いて両サイドの歯に接着している場面です。
_
本日の終了時です。
インプラントの治癒期間は3ヶ月とし、3か月後にコンピュータスキャンします。
_
F・Kさん、初回の処置が難易度の高い処置となり、ご不安だったと思いますが、よくぞ乗り越えられました。
このブログ記事を通じて、今後の患者さんの不安の軽減に寄与して頂くことに感謝致します。
_
広島市の自由診療専門歯科 三好デンタルオフィス





































