※外科処置の写真が含まれますのでご注意ください。
本日の午後はインプラントオペをします。
![]()
事前に弊オフィスの歯科用CT(ファインキューブ)でシミュレーションします。
![]()
KaVo アルクスフェイスボウでフェイスボウトランスファーします。
![]()
模型上で埋入ポジションのシミュレーションをします。
![]()
CTデータと重ね合わせて3次元的角度を決めます。
![]()
即時重合レジンでドリルガイド(サージカルステント)を作製します。
![]()
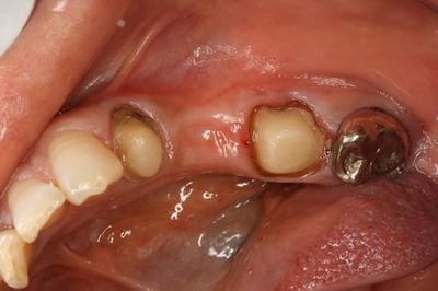
実際のおくちです。(ミラー像)
![]()
おくちの中でステントの適合を確認します。
![]()
安全な深度までドリリングして深度ゲージで確認します。
![]()
ここからは粘膜を剥離して実際の歯槽骨を見ながらドリリングします。
![]()
ドリルのサイズをステップアップして最終サイズまで拡大しました。
![]()
インプラント埋入前にタップを切ります。
![]()
インプラントは私が信頼するストローマンインプラント(スイス製)です。
![]()
ボーンレベルインプラント Φ4.1mm 8mm です。
![]()
インプラントの埋入を終えました。
![]()
インプラントフィクスチャーの上部です。
![]()
カバースクリュー高さ0.5mmで封鎖します。
![]()
カバースクリューで封鎖しました。
![]()
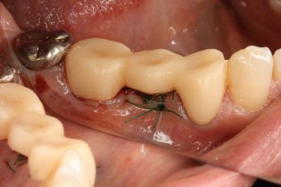
4-0ナイロン縫合糸で縫合しました。
![]()
レントゲンで確認します。
![]()
プラスチックの仮歯をセットして治癒を待ちます。
——————————————————————
Y・Jさん、骨への処置ですから振動が伝わりますので、お疲れのことと思います。
「私はくちを開けておくだけですから。先生こそ、おつかれさまでした。」
お気遣いで明日も頑張れます!
もしよろしければ、
人気ブログランキングに投票する をクリックお願いいたします。
広島 三好デンタルオフィス






