土曜日は通常午後休診ですがインプラントオペなどには対応しています。
右上第一大臼歯中間欠損へのインプラントオペを行います。
まずは事前準備からです。
![]()
CTでシミュレーションをします。インプラント治療にはもはやCTは必須です。
骨の垂直幅は8mm弱ですがソケットリフトを行い10mmのインプラントを
植立する予定を立てます。
![]()
KaVoアルクスフェイスボウでフェイスボウトランスファーします。
顎関節と上顎歯列の位置関係を記録して、下顎の運動を近似化させる作業です。
![]()
KaVo プロターevo7咬合器にマウントしました。
![]()
この部分にインプラントを植立します。
![]()
CTデータと重ね合わせて予定位置・方向に金属棒を植えます。
![]()
上下の歯の位置関係も確認します。
![]()
プラスチックでドリルガイドを作製します。(ライブピンクのレジンに意味はありません)
——————————————————————
いよいよ本日のオペを行います。
ミラー像
前後の金属も今後除去していきます。
![]()
ドリルガイドの適合を確認します。
![]()
ドリルガイドに沿って安全な部分までドリリングして深度ゲージを挿入します。
![]()
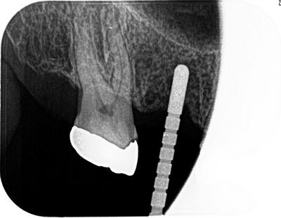
かなりコーンカットのレントゲンですが、1目盛り2mmですので
上顎洞底まで約3mm程度であることがわかります。
![]()
切開線を入れて粘膜剥離をして深さを正確に確認します。
![]()
ストローマンインプラント純正のボーンコンデンセーションとオステオトームで
ソケットリフトを行います。
![]()
スムーズに挙上できました。このあとノーズブローテストを行います。
![]()
インプラントは信頼のスイスのストローマンインプラントです。
このインプラントが現在のところもっとも優れていると私は考えています。
![]()
ボーンレベルインプラント Φ4.8 10mm です。
![]()
前半はモーター埋入し、最後はハンドラチェットで微調整します。
![]()
![]()
埋入を終えました。
![]()
挿入ジグをはずしました。
![]()
封鎖スクリュー高さ0.5mmで封鎖します。
![]()
封鎖しました。
![]()
封鎖スクリューで内部に組織や異物が入るのを防ぎます。
![]()
レントゲンで確認します。ソケットリフトで挙上した上顎洞底骨が見えます。
![]()
GCソフトレッチで縫合して終了です。
——————————————————————
K・Mさん、オペおつかれさまでした。緊張なさったことと思います。
「先生に任せてよかったわ」
お言葉のおかげで気持ちよく休日が迎えられます!
もしよろしければ、
人気ブログランキングに投票する をクリックお願いいたします。
広島 三好デンタルオフィス





