本日の午前中は東広島市西条町のK・Mさんのインプラント埋入オペを行います。
![]()
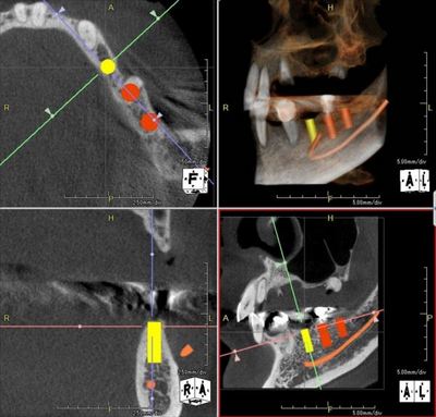
左下臼歯部に3本のインプラントの埋入オペを計画します。
CTシミュレーションを事前に行います。
![]()
模型とCTデータを重ね合わせて埋入ポジションを決定します。
![]()
サージカルステント(ドリル誘導器具)を製作して準備完了です。
いよいよ本日埋入オペを行います。
![]()
ステントの適合を確認します。
![]()
スターティングポイントのマーキングを終えました。
![]()
この時点で粘膜を剥離しました。
骨の突起や段差がありますので修正してから続けます。
![]()
いつものようにパイロットドリルで安全域までドリリングして角度の確認を行います。
![]()
予定通りの角度にドリリングできていますのでドリルステップを進めます。
![]()
スイス ストローマン社 ボーンレベルインプラントSLActive です。
手前はナロー、奥2本はレギュラーです。
![]()
インプラントの埋入を終えました。
![]()
デコルチケーションして骨の切削片を骨頂部の薄くなりそうな部分へ盛り上げます。
![]()
ヒーリングキャップでインプラントのスクリューホールを保護するとともに、
粘膜貫通部の形態の形成、粘膜弁の固定を行います。
![]()
ヒーリングキャップの締結と縫合を終えました。
![]()
オペ終了時のレントゲン写真です。
インプラント治療自体はとてもすぐれた治療方法ですが、すべては術者の技術にかかっています。
K・Mさん、本日もオペお疲れさまでした。
下顎の準備の第一段階が終了ですね。
もしよろしければ
ブログランキングに投票のため、このリンクのクリックお願いいたします。
後悔しないインプラント治療のために。
広島市南区の自由診療専門の歯科医院 三好デンタルオフィス






