※外科処理の写真が含まれますのでご注意ください。
I・Rさんのインプラント治療が本日で完成です。
![]()
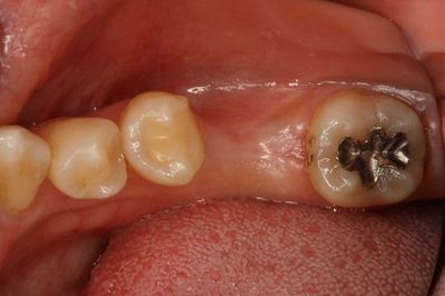
左下臼歯部の治療開始時です。(ミラー像)
![]()
インプラント埋入後の二次オペ時の写真です。
![]()
セレックでジルコニアカスタムアバットメントとセラミッククラウンを
同時に作製します。
![]()
ジルコニアカスタムアバットメントを締結しました。
![]()
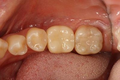
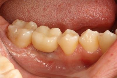
セラミックのかぶせものをセットしました。
![]()
麻酔をしてからセットしているため、インプラント部分の歯肉がダークになっています。
経時的に血流が回復していきます。
—————————————————————
I・Rさん、長い道のりでしたが本日でいよいよ完成です。
最後は高松からのご通院となり大変お疲れのことと思います。
白い歯が揃うことは、生物としては本来普通のことですが
日本においては非常に稀な状態です。
歯科治療についての問題点をご理解いただけるだけでも幸せですが
実際にゴールまで突き進まれたのはI・Rさんの努力の賜物です。
I・Rさんに「ついてきてもらう」ことで私も成長することができました。
感謝の気持ちでいっぱいです。
もしよろしければ
人気ブログランキングに投票する をクリックお願いいたします。
広島 三好デンタルオフィス






