
左上第二小臼歯部分にインプラントの埋入を計画します。
CTシミュレーションです。
骨の形状は良好ですので、粘膜剥離を行わないフラップレス埋入オペが可能と判断しました。

上下歯列の型取りとフェイスボウトランスファーを行い、上顎歯列と顎関節の関係を記録します。

フェイスボウの記録を利用して、咬合器に上下歯列模型をマウントしました。


模型上でシミュレーションしてサージカルステント(ドリルガイド)を作成し、準備は完了です。

本日いよいよインプラント埋入オペに臨みます。
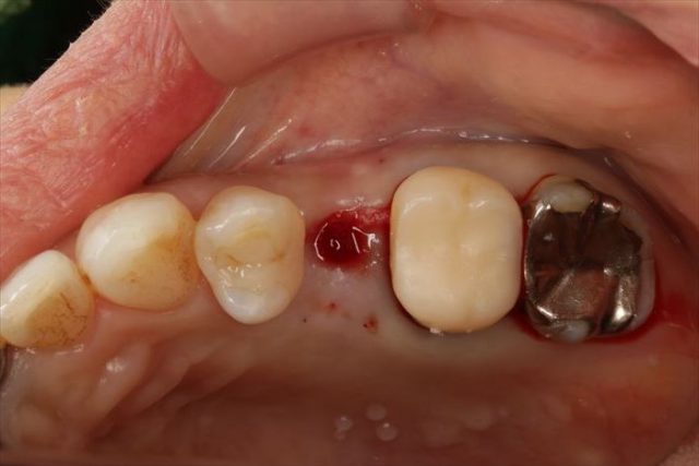
前後の歯も今後治療を進めていきますが、まだ手つかずの状態です。
この部分は抜歯とメタルタトゥーの切除を行った場所です。

サージカルステントの適合を確認し、慎重にドリリングを開始します。

まずはパイロットドリルで浅い部分までドリリングして確認します。

深度ゲージを挿入してレントゲンを撮影します。

レントゲン写真です。
予定通りの位置・角度にドリリング出来ていますのでドリルステップを進めていきます。

上顎洞底を拳上するためにオステオトームを用いている場面です。

予定通り上顎洞底の拳上もできて、インプラント埋入窩の準備完了です。

いつものようにインプラントはスイスのストローマンインプラントを用います。
BLTインプラント SLActive φ3.3 長さ10㎜

インプラントをモーター埋入している場面です。

埋入を終えました。青いパーツは埋入時用のジグです。

咬合面観です。
近遠心幅が狭いのでポジションの位置決めには緊張します。

挿入ジグを外しました。

封鎖スクリューでインプラントフィクスチャーを保護します。


フラップレス埋入オペでは出血もあまりありません。
無事に終わりました。

上顎洞底が拳上されて、テント状になっていることがよく分かるレントゲン写真です。
拳上された部分は穏やかに骨化していくと考えられています。
N・Sさん、東広島市西条町からのお越しに恐縮いたします。
あとは月日が経つのを待つばかりですね!
もしよろしければ
ブログランキングに投票のため、このリンクのクリックお願いいたします。
広島市の自由診療専門の歯科医院 三好デンタルオフィス






