※外科処置の写真が含まれますのでご注意ください。
本日の午後はI・Kさんのインプラントオペです。
弊オフィスでは原則として半日アポイントをお取りしてオペを行います。
一生に関わることですから、しっかり集中できる状況・環境でオペをしたいためです。
ミラー像
左下奥歯の部分にインプラント治療をします。
骨の陥没がありますので事前にCTで検査します。
(写真はオペ直前のものです。)
![]()
CT撮影後のシミュレーション画像です。
横に伸びているオレンジ色の線は下歯槽神経管です。
神経と血管が入っていますので絶対に損傷してはいけません。
埋入予定ポイントには骨欠損もあります。
![]()
CTシミュレーションを参考に模型上でマーキングします。
![]()
プラスチックをマーキングの棒の上から押し当てて硬化させることで
ドリルの方向を指し示す装置を私が準備します。(サージカルステント)
![]()
実際のおくちにマウントしてインプラントの埋入ポイントをマークします。
![]()
本日のオペは下歯槽神経管に近接していますので極度の集中力が必要です。
予定位置に無事埋入を終えました。
インプラントは私が信頼を置くスイスのストローマン社製です。
骨欠損の部分はまだインプラントネックが露出していますので対処をします。
![]()
ドリリング中に出る骨の切削片を
専用バキュームチップ内のフィルター(使い捨て)で濾しとったものです。
![]()
角砂糖程度の体積の骨の切削片が採取できました。
![]()
皮質骨にあえて穴をあけて出血を促したところです(デコルチケーション)。
この状態にさらに上の写真の骨切削片を盛り足して縫合します。
多めに盛っておくことが重要です。
![]()
縫合を終えました。
二次手術時に歯肉弁根尖側移動術を行います。
![]()
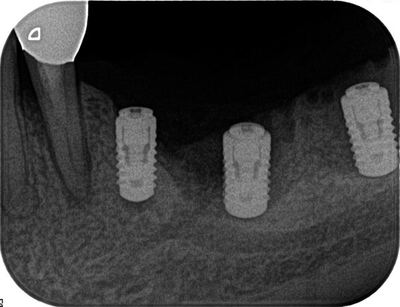
オペ後のレントゲン写真です。
—————————————————————-
このケースのように骨欠損と下歯槽神経管との近接がある場合、
CT診断は必須ですが、いざ実際の骨を見てからの判断が最も重要になってきます。
「思っていたより楽でした。先生もおつかれさまでした。」
I・Kさんの埋入オペが無事終わって私もうれしいですし、
お気遣いに集中による疲れも吹き飛びます。
もしよろしければ、
人気ブログランキングに投票する をクリックお願いいたします。
広島 三好デンタルオフィス






