![]()
右下奥歯に部分入れ歯をご使用中です。
この部分にインプラント治療を行い、失われた数々を取り戻します。
![]()
入れ歯の使用によって、骨と軟組織が吸収しています。
![]()
初診時のCTデータにおけるシミュレーションです。
初診時は上顎も部分入れ歯をご使用でしたが
残念なから残存歯は保存不能で総義歯を作製しています。
横に走るオレンジのラインは下歯槽神経管であり、特に奥側は注意が必要です。
![]()
手前側(第一大臼歯部分)の断面図です。
骨幅が狭いことと、上顎が総義歯につきレギュラー(Φ4.1mm)を選択します。
フラットニングして短いインプラントを選択することも選択肢としてはありますが
垂直的な骨吸収をきたしている部分をさらにフラットニングすると
歯冠長をさらに長くする結果となりますので見送ります。
![]()
奥側(第二大臼歯部分)です。
下歯槽神経管までの垂直的距離が短く、位置づけを慎重に行う必要があります。
ストローマン社のボーンレベルインプラントは最も短いもので8mmですので
スレッドの露出部分をカバーすることを計画し、このポジションを選択します。
下歯槽神経管までの余裕は2mm程度は必要です。
![]()
模型でシミュレーションするために事前に型取りと
フェイスボウトランスファーを行います。
![]()
上顎は総義歯です。
![]()
模型上でイメージを作ります。
![]()
EZステントを用いてスタートポイントのマーキング用の
サージカルステントを作製します。
奥側はシビアなケースにつき手前を基準に実際の骨と対峙し技術で対応します。
いよいよ本日、オペに臨みます。
![]()
まずはサージカルステントの適合確認です。
![]()
![]()
今回は角化歯肉の幅が狭いことと、
抜歯後の年数が経ち骨が完全に治癒していますので埋入トルクが大きく出ることを想定し
1回法(オペ時に粘膜外にインプラント関連構造物を露出させ縫合する方法)となる可能性が高いため
粘膜剥離してからファーストドリリングを行います。
![]()
インプラントの埋入を終えました。
別アングルです。
![]()
![]()
スイスのストローマン社 ボーンレベルインプラントSLActive RCΦ4.1mm 10mm(手前用)
![]()
事前のシミュレーション通りの埋入を終えました。
スレッド(インプラント表面の螺旋ネジ構造表面)が露出している部分には
この後、骨切削片を置いて処置をします。
![]()
ヒーリングキャップ(インプラント本体の保護と粘膜の形態形成ネジ)を締結します。
![]()
![]()
細いラウンドバーを無注水で用いて皮質骨を穿孔し(デコルチケーション)、
骨移植片をかんなクズのように形成し、
スレッド露出部分に盛り上げると共に治癒を促進します。
![]()
縫合を終えました。
ストローマンインプラントのSLActiveは埋入の条件が揃えば
3週間後からのロード(荷重)が可能です。
このケースでも早期に負荷をかける(咬める)予定です。
![]()
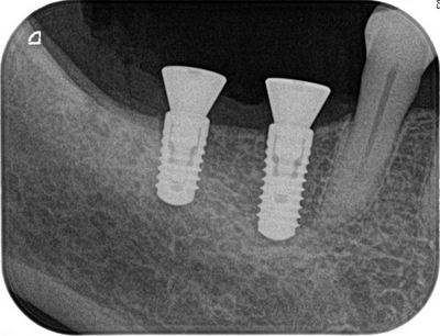
オペ終了時のレントゲン写真です。
Y・Mさん、2本のオペお疲れ様でした。
咬める日が楽しみです!
ご相談はお気軽に
広島市 三好デンタルオフィス






