![]()
左下大臼歯2本の部分にインプラントを2本埋入します。
歯科用CTファインキューブによるインプラントシミュレーションです。
![]()
いつものようにフェイスボウトランスファーを行い、上顎歯列と顎関節の位置関係を記録します。
![]()
フェイスボウの記録をもとに上下歯列模型を咬合器にマウントします。
![]()
左上下歯列の現在の関係です。
![]()
埋入ポジションを決定してサージカルステントを製作し、オペに臨みます。
![]()
いよいよ本日インプラント埋入オペを行います。
サージカルステントの適合は良好です。
![]()
サージカルステントを用いてパイロットドリルでドリリングし深度ゲージを挿入して
レントゲンを撮影します。
![]()
デンタルX線写真です。
予定通りの位置・角度にドリリングできていますのでドリルステップを進めます。
![]()
奥側の第二大臼歯部分にもパイロットドリルでドリリングしました。
![]()
粘膜を剥離して骨の状態を確認し、ドリリングを進めます。
![]()
インプラントはスイスのストローマンインプラントです。
![]()
BLT φ4.8 10㎜ Roxolid (TiZr:チタンジルコニウム) SLActive
![]()
2本のインプラントを埋入しました。
![]()
ブルーのパーツは挿入ジグ=植えるためだけのパーツです。
![]()
挿入ジグを外しました。
![]()
封鎖スクリューでインプラントフィクスチャーのスクリューホールを封鎖しました。
![]()
減張切開して縫合封鎖しました。
![]()
1週間から10日後に抜糸します。
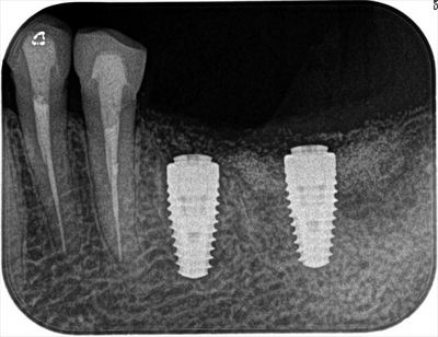
![]()
オペ終了時のレントゲン写真です。
O・Kさん、インプラントオペお疲れ様でした。
「本当に細かい治療なんですね。私は信じてお任せするだけですが」
嬉しいお言葉ありがとうございます。
埋入トルクは充分でしたので6週後には仮歯で咬んでいただける予定です。
もしよろしければ
ブログランキングに投票のため、このリンクのクリックお願いいたします。
インプラント治療を行う広島市の自由診療専門の歯科医院 三好デンタルオフィス





