
右下のインプラント埋入直後の写真です。(2017.10.03)
ブルーのパーツは埋入用のジグです。
埋入時と5週後の記事はこちらです。
「下顎左右第一大臼歯部分に2本のインプラントを埋入しました。2017.10.03」
「フラップレス インプラント埋入オペ後 5週間の状態です。2017.11.14」

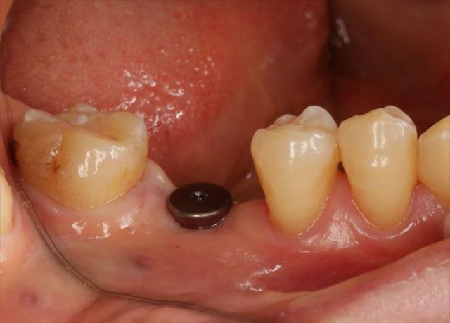
埋入用のブルーのジグを外してヒーリングキャップを締結した状態です。(2017.10.03)

およそ5週後にジルコニアカスタムアバットメントのスキャニングを行います。
上の写真はジルコニアカスタムアバットメントの台座となるチタンベースとスキャン用の白いキャップです。

チタンベースを締結しました。 (2017.11.14)

スキャンボディをセットしました。(2017.11.14)
この状態でセレックでスキャニングします。

セレックでジルコニアカスタムアバットメントとレジン製の仮歯をデザインし作成します。

写真下からインプラント本体サンプル・ジルコニアカスタムアバットメント・レジン製仮歯 です。

ジルコニアカスタムアバットメントを締結しました。(2017.11.28)
この上にレジン製仮歯をセットして日常生活を送っていただき、仮歯が咬みあわせになじんできた段階で
その形状を参考にしてセラミックの最終的な歯を作成します。
臼歯部では歯肉縁上マージン(歯ぐきよりも上の部分でかぶせものを接合すること)になるようにしています。
粘膜からジョイント部分を離したいためです。
前歯であっても歯肉同縁程度とし、不確実性を生む明らかな歯肉縁下マージンは避けています。

本日、セラミックのかぶせもの(セラミッククラウン)をセレックで即日作成してセットしました。(2017.12.26)
歯肉縁上マージンにしていますのでジルコニアカスタムアバットメントがわずかに見えています。
歯肉には継ぎ目のないジルコニアが接触している状態です。
ご飯に石が入っていた場合など、過度な咬合圧がかかるとセラミッククラウンが壊れて衝撃を吸収します。
そうすることでインプラント本体に負荷がかかるのを防ぎます。
セラミッククラウンは弊オフィスで即日製作できますのでご心配は要りません。
セラミッククラウンは接着する最終補綴物と言われますが、弊オフィスではセラミックテンポラリーのような位置づけです。
(セラミックテンポラリー:セラミックによる暫間修復物)
日本の歯科治療における「取れない歯医者が上手」の実現は簡単ですが、場合によっては危険です。
取れないことよりも、天然歯に負担を掛けず、インプラント本体に負担を掛けない事の方が大切です。
このケースの技工作業のすべてを私がオフィス内で行っています。
K・Mさん、山口県下松市からのお越しに恐縮です。
年内に無事終わることが出来て私も嬉しいです。
もしよろしければ
ブログランキングに投票のため、このリンクのクリックお願いいたします。
広島市の自由診療専門の歯科医院 三好デンタルオフィス






