
昨年2017年11月16日にジルコニアインプラント(ワンピースインプラント)を埋入した直後の写真です。
埋入オペの詳細は下記の記事に書いています。
「ジルコニアインプラントを右上臼歯部にフラップレス埋入しました。2017.11.16」

およそ2.5ヶ月が経過した本日の写真です。
ネック部分が歯肉の治癒によって覆われています。
いよいよ仮歯を作成してセットし、咬んで頂ける日がやって参りました。

局所麻酔を行い、CO2レーザーで周囲の歯肉を蒸散し、インプラントのネックを露出させました。

セレックでスキャンし、迅速に仮歯をデザインします。

レジンブロックから仮歯をミリング(削りだし)ました。

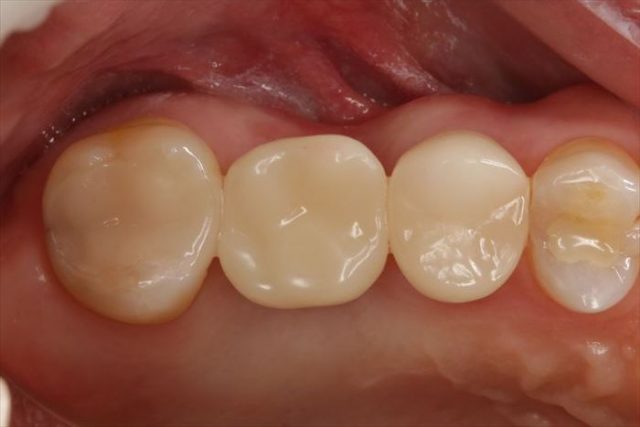
レジン製の仮歯を仮着セメントで固定して、本日より咬んで頂きます。
最初はリハビリを行う気持ちで食べていただくことをお願いしています。
仮歯で咬むことが大丈夫でしたら、仮歯の形態を参考にセラミックの歯を本日同様セレックで即日製作・接着してインプラント治療の完成です。
T・Aさん、インプラントのオペ後、特に痛みが出なかったとのことで私も嬉しいです。
遂に本日から右側でもしっかり噛んで頂けます。
広島市の自由診療専門の歯科 三好デンタルオフィス






