![]()
オフィス内の歯科用CTで撮影し、右下第二小臼歯部分へのインプラント埋入オペを計画します。
画像の黄色の円柱がインプラントを模式的に表したものです。
テーパータイプ(BLT)かつ強度に優れたチタンジルコニウム(Roxolid)インプラントのおかげで
下歯槽神経までの距離が比較的近い場合でも物理的に余裕のあるインプラント選択が可能になっています。
太く長いインプラントを埋入する度胸比べをしているわけではありませんので安全性を第一に考慮します。
![]()
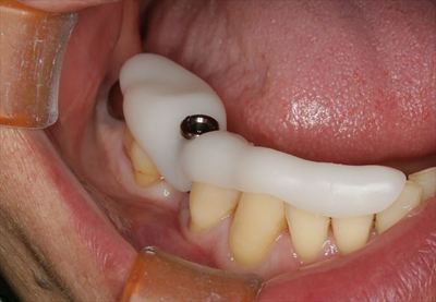
いつものようにフェイスボウトランスファーを行い下顎の回転半径を得ます。
![]()
KaVoの咬合器に上下歯列模型をマウントしました。
![]()
CTデータと重ね合わせてシミュレーションします。
![]()
ドリルガイドであるサージカルステントを作成します。
![]()
オペ前の事前準備が整いました。
![]()
いよいよ本日オペの開始です。
![]()
局所麻酔後に安全な深度までドリリングして深度ゲージを挿入しレントゲンを撮影します。
![]()
予定通りでしたのでこのままドリルステップを進めます。
![]()
ここからは粘膜を剥離して実際の骨を確認しながらドリリングします。
![]()
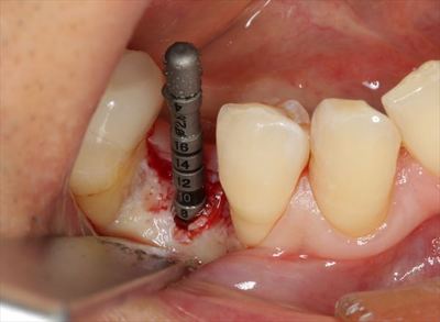
φ3.3㎜のインプラントを埋入しますので、φ2.8㎜のドリルが最終ドリルです。
深度ゲージで確認を行います。
![]()
インプラントはスイスのストローマンインプラントを使用します。
![]()
BLT(Bone Level Taperd) φ3.3 10㎜ SLActive
私がインプラント治療を受けるとすればストローマンインプラントを選択しますので
弊オフィスではストローマンインプラントのみを使用しています。
日本を含むアジア製インプラントを用いて治療費の安さで勝負する概念は全くありません。
![]()
無事に埋入を終えました。
![]()
挿入ジグを外しました。
![]()
封鎖スクリューでインプラントフィクスチャーのスクリューホールを封鎖します。
![]()
封鎖しました。
![]()
骨吸収を防ぐため、デコルチケーション後にハイドロキシアパタイトを填入します。
![]()
減張切開後に縫合封鎖しました。
![]()
オペ終了時のレントゲン写真です。
「いつもブログで見ていることが私にも終わりました。」とM・Tさん。
本日も興味深いお話ありがとうございました。
お言葉にいつも励まされています。
もしよろしければ
ブログランキングに投票のため、このリンクのクリックお願いいたします。
インプラント治療を行う広島市の自由診療専門の歯科医院 三好デンタルオフィス






